치료전후 3 페이지 | 이미지치과 :: 대구임플란트 안아픈치과, 잘하는치과

치료전후 3 페이지

본문 바로가기

image dental clinic

커뮤니티

이미지치과는 맞춤 진료를 통해 고객님의 환한 미소를 찾아드립니다.

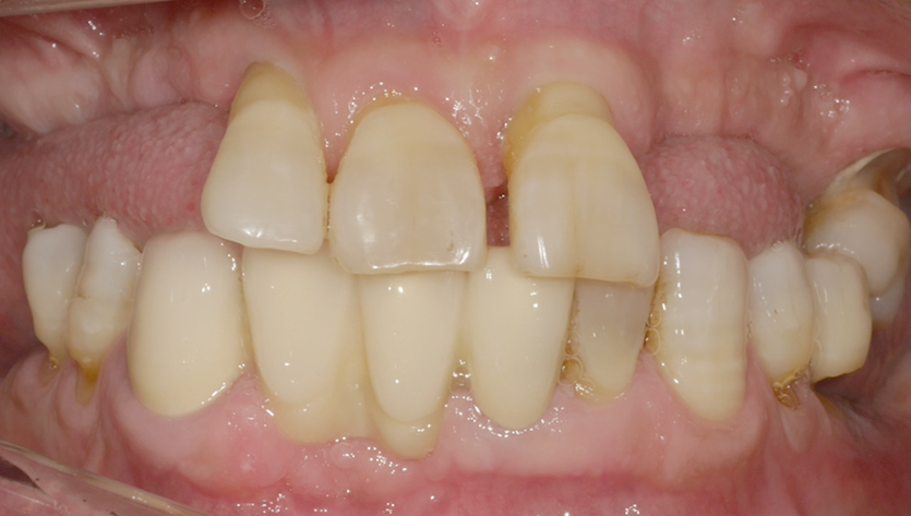
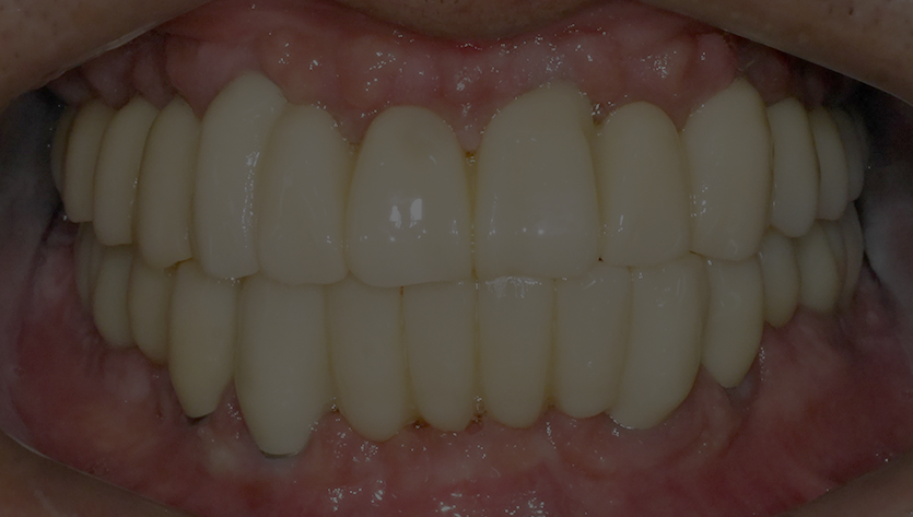
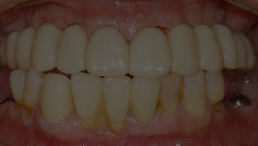
치료전후


늘 예약이 물밀듯이 들어오는 이미지치과
초과 수요로 인한 예약 마감을 주의하세요.

분야별 전문의가 빠르게 상담을 도와드리겠습니다.

빠른상담 신청하기

분야별 전문의가 상담을 도와드리겠습니다

이름

휴대폰

상담 내용

개인정보 취급방침동의

더이상 미루지 말고, 빠른 상담 예약하기 ›