바로 임플란트 | 이미지치과 :: 대구임플란트 안아픈치과, 잘하는치과

바로 임플란트

본문 바로가기

대구임플란트

대구임플란트

대구임플란트

대구임플란트

IMAGE DENTAL CLINIC BARO IMPLANT

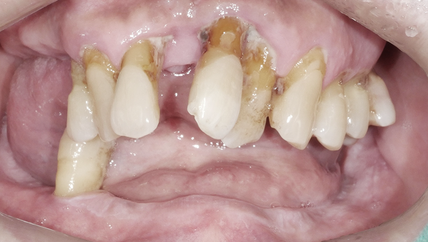
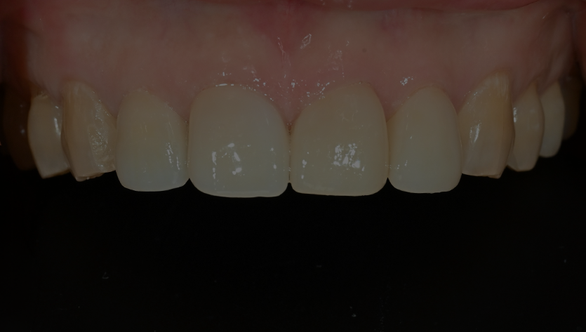
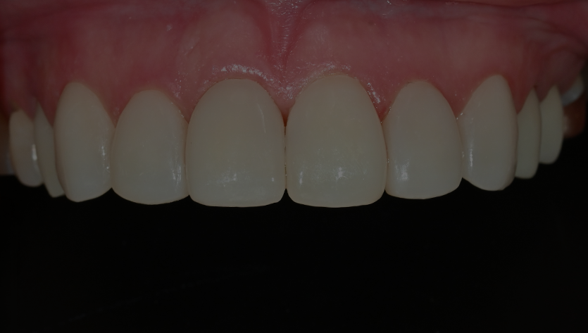
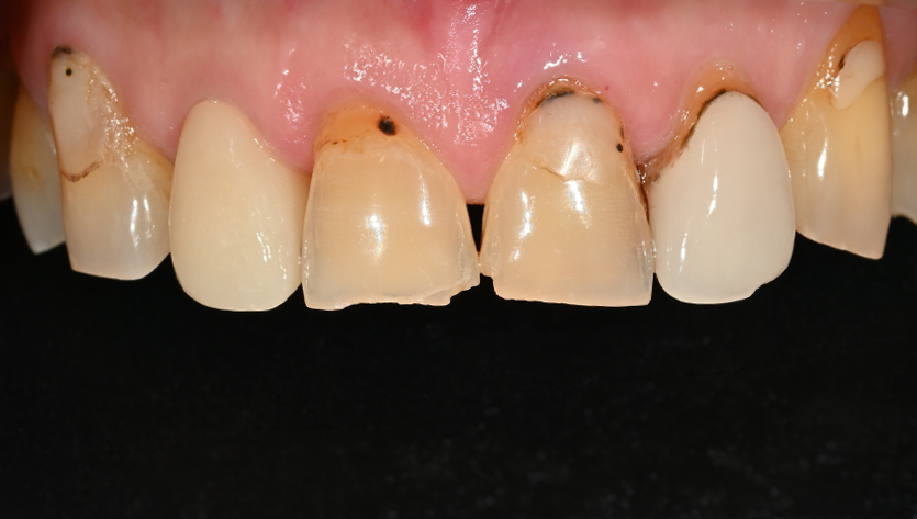
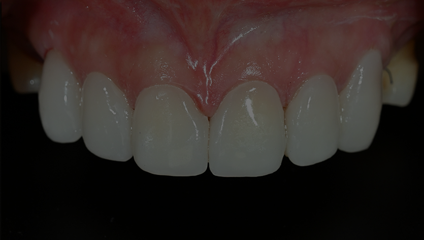
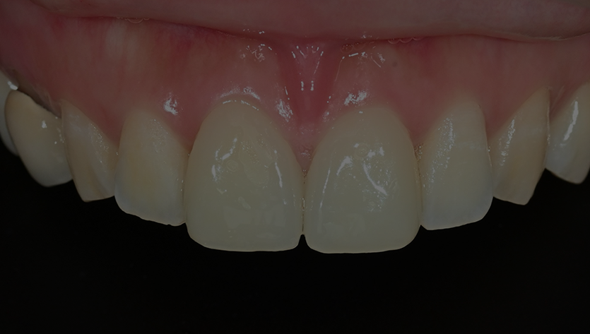
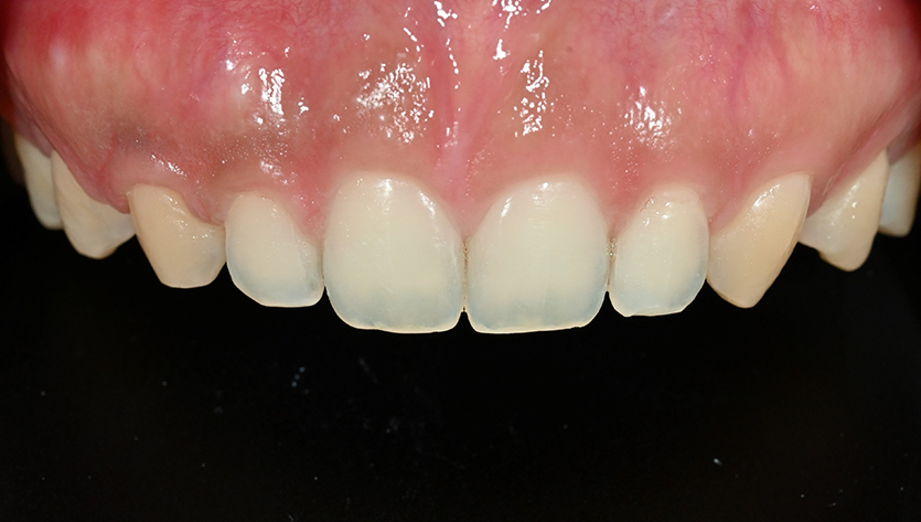
바로임플란트로 제2의 인생을 되찾다.

“평생 운동 밖에 모르고 살았는데 치아 때문에 부끄러워서 체육관도 나가지 못했어요 하지만 바로임플란트를 만난 오늘, 내일 당장 체육관에 나갈 수 있어서 너무 기쁩니다” 전직 운동선수 배OO님의 인터뷰 중

개인의 구강상태와 상담일정에 따라 달라질 수 있습니다.

의식하진정요법 임플란트
바로되는 임플란트

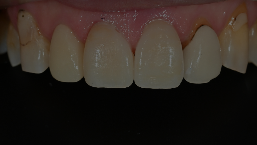
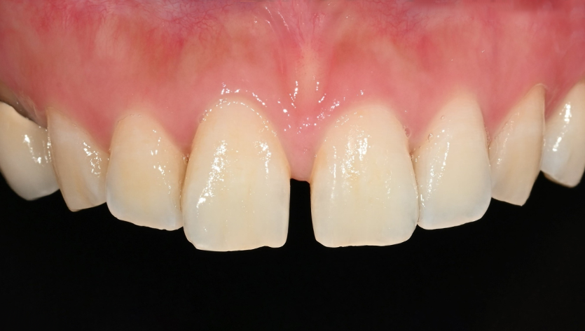
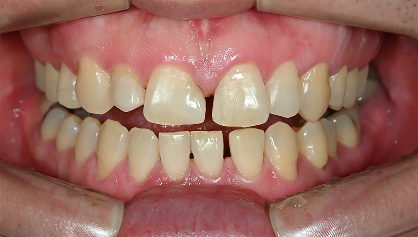
임플란트는 오래 걸린다? 편견을 깬 바로임플란트

이미지치과의 바로임플란트는 치아를 발치한 후 보철까지 내원 당일 바로 완성하여 기다리는 불편함 없이 바로 일상생활에 복귀할 수 있는 이미지치과만의 독보적인 기술력의 임플란트입니다

바로임플란트가 바로 가능한 이유 01

IMAGE BARO IMPLANT

이미지치과는 진단부터 차별화 되어 있습니다 풍부한 경험과 노하우를 가진 의료진이 환자 본인에게 가장 적합한 치료법을 제시합니다 맞춤형 의료서비스와 인증된 수술 노하우는 이미지치과의 경쟁력입니다

바로임플란트가 바로 가능한 이유 02

IMAGE BARO IMPLANT

자체기공소 운영으로 시간을 단축하고 숙련된 치과기공팀이 상시 상주해 있습니다 치과 내 자체기공소를 보유하고 있어 본을 뜨고 보철물 제작에 소요되는 시간을  단축시켰습니다 특히 오랜 경력의 장인기공사가 제작한 바로보철은 기존 임시보철물에 대한 부자연스러움과 이질감을 최소화하여 본인의 자연치아와 아주 흡사하게 제작하기 때문에 환자 분들의 만족도가 아주 높습니다

바로임플란트가 바로 가능한 이유 03

IMAGE BARO IMPLANT

섬세한 기술력을 가진 의료진의 믿을 수 있는 테크닉 숙련된 임플란트의 핵심은 수많은 노력과 경험, 노하우가 있어야 합니다 다양한 시술 경험을 가진 의료진이 최적의 테크닉으로 정교하고 빠르게 바로임플란트를 식립합니다

바로임플란트가 바로 가능한 이유 04

IMAGE BARO IMPLANT

대학병원급 최첨단 장비를 보유하고 있어 빠르고 정확합니다 세계적인 의료기기 기업인 3Shpae, 3D SYSTEMS 등의 최첨단 장비에 투자를 아끼지 않기 때문에 보다 더 정밀하고 섬세한 바로보철물의 제작이 가능합니다

  • NEXTDENT 5100 세계 최고 소재 중 하나인 NEXTDENT를 사용하며 빠른 보철물의 제작이 가능합니다

  • Cea ramill Matik 완전 자동화 시스템을 채용한 전세계 1위 기공용 캐드캠 솔루션입니다

  • 3-Shpae Trios 3 스캐너 소형으로 구강사진을 실시간 모습 그대로 데이터화 시켜주는 구강전용 스캐너입니다

  • NEXTDENT 5100 세계 최고 소재 중 하나인 NEXTDENT를 사용하며 빠른 보철물의 제작이 가능합니다

  • 3차원 단층 CT 최첨단 초정밀 3D CT로 피부 아래 신경위치까지 파악이 가능합니다

바로임플란트가 바로 가능한 이유 03

IMAGE BARO IMPLANT

분과별 5인 원장단의 협진진료 시스템을 통한 맞춤 진료가 가능합니다 임플란트과, 교정과, 보철과, 치주과, 통합진료과 등 각 분과별 진료를 한 곳에서 체계적이고 신속하게 받아볼 수 있어 보다 만족스러운 결과를 기대할 수 있습니다.

이미지치과를 찾는 분들의

바로임플란트 90%

10명 중 9명이 바로임플란트로 진행됩니다

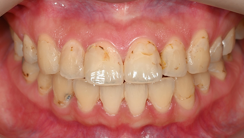
하루만에 된다고 다 똑같은 임플란트가 아닙니다 이미지치과는 다릅니다

완벽한 결과를 위한 0.01mm 오차범위까지 계산된 정확하고 빠른 바로임플란트

01

이미지치과 바로임플란트 시술 대상

  • 01

    평소 시간이 부족해 잦은 내원이 힘드신 분

  • 02

    간단한 식사가 어려운 치아상태를 가지신 분

  • 03

    치료기간이 오래 걸려 포기하신 분

  • 04

    빠른 회복을 원하시는 분

  • 05

    출혈 및 통증이 걱정되시는 분

02

바로임플란트는 바로보철까지 하루만에

이미지치과의 바로임플란트는 다양한 치료 장비와 풍부한 경험을 바탕으로 바로보철까지 수술 당일, 한 번에 이루어지기 때문에 번거롭고 부담스러운 치료기간이 단축됩니다

03

믿을 수 있는 정품 브랜드 사용으로 안전하게!

이미지치과에서는 세계적으로 품질의 우수성을 인정받은 정품재료만 사용하여 수술하고 있습니다 검증된 재료를 사용하는 것은 안전한 진료의 첫 걸음입니다

당일식립이 가능한 곳은 많지만 바로보철이 하루만에 가능한 곳은 이미지치과 뿐입니다

바로임플란트는 일반 치과에서 보편적으로 하기 어려운 시술입니다 이미지치과에서는 최고의 장비와 실력으로 바로임플란트를 시술합니다

IMAGE YOUTUBE TV

치아에 대한 다양한 정보가 궁금하다면?

유튜브채널 바로가기
의사가 말하는 좋은 병원이란?!
치의학에 왜 디지털이 필요한가?
내원 당일 바로 되는 임플란트
치주질환, 시린이의 원인과 치료법


늘 예약이 물밀듯이 들어오는 이미지치과
초과 수요로 인한 예약 마감을 주의하세요.

분야별 전문의가 빠르게 상담을 도와드리겠습니다.

빠른상담 신청하기

분야별 전문의가 상담을 도와드리겠습니다

이름

휴대폰

상담 내용

개인정보 취급방침동의

빠른상담 신청하기

분야별 전문의가 상담을 도와드리겠습니다

이름

휴대폰

상담 내용

개인정보 취급방침동의