원하는 부분만
골라서
빠르고 신속하게
이미지치과의 교정 스토리
이미지치과의 교정 스토리
이미지치과는 각 분야 별 의료진 4인이 환자 맞춤형 협진진료를 진행합니다
과잉없는 올바른 진료로 최선을 다하겠습니다
지진우 대표원장
이덕현 대표원장
유다운 원장
강덕화 원장

단순하고 간단한 치료가 아닌 만큼 교정치료는 더 신중하게 선택해야 합니다.
믿을 수 있는 치과에서 동일한 담당 치과의사에게 처음부터 끝까지 치료를 받아야 합니다.
정식 수입된 재료만을
사용합니다
맞춤형 계획에 따른
비용을 제시합니다
환자의 사소한 부분도
끝까지 살피고 챙깁니다
풍부한 경험으로
만족할 수 있는 결과를
만들어 내겠습니다
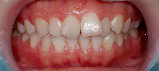
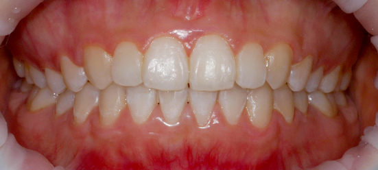
이미지 부분교정은 앞니가 정상교합이 아니거나 정상위치가 아닌 경우
전체적인 교정치료나 1년 이상의 치료기간이 부담스러워
고민하시는 분들을 위한 교정 프로그램입니다
부분교정 전
부분교정 3개월 후
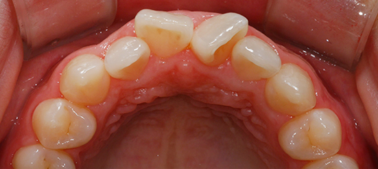
부분교정 전
부분교정 3개월 후






이미지치과는 정밀 진단과 정확한 분석을 통해 개인 별 상태를 고려하고
치과 내 자체 기공소 및 기공사가 상주하며 제작을 하므로 빠르고 간편하게 진료를 받으실 수 있습니다
step1. 구강 X-ray 촬영
X선 촬영 진행
step2. 3D 구강스캐너 인상채득
3D 디지털 구강스캐너로
step3. 진단 및 치료계획 수립
교정 담당 원장님과
step4. 자체기공실 교정장치 제작
내부 베테랑 기공사가 맞춤 제작된
step5. 이미지만의 스페셜 케어
6~8주에 한 번씩 내원하여
이미지치과는 전문적인 노하우와 기술력으로 확실한 교정이 되도록 최선을 다하고 있으며
중간의 의료진 교체없이 처음부터 끝까지 책임지고 진료해드립니다
안전한 수술 및 만족도 높은 결과를 위해
3D프린터, 구강스캐너, 3차원 CT 등
다양한 의료장비시설이 구축되어 있습니다
안전한 수술을 위해 수술 전
의료진의 멸균 손세정 및 쾌적한 진료환경을 위해
병원 내 365일 소독시스템을 시행합니다
100명의 진료를 보면
100명의 치료방법이 조금씩 다릅니다
1:1 맞춤 프로그램으로 개인에 맞춰
근본적인 솔루션을 제공합니다
보철과·치주과·교정과·구강외과 등
여러 분야의 전문간들이
불편함 없는 TOTAL 진료를
가능하도록 지원하고 있습니다

오로지 정품만을 사용합니다효과와 안전성이 입증된 재료만 고집합니다
모든 진료에 최선을 다합니다환자의 치아상태를 꼼꼼하게 파악하여 풍부한 경험으로
최상의 결과를 얻을 수 있도록 노력합니다
내 가족처럼 생각합니다내 가족이라면, 나라면 어떻게 치료할 것인가라는
마음을 가지고 정직하게 치료합니다