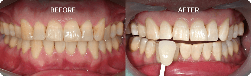
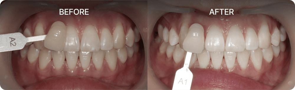
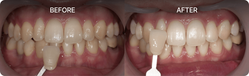
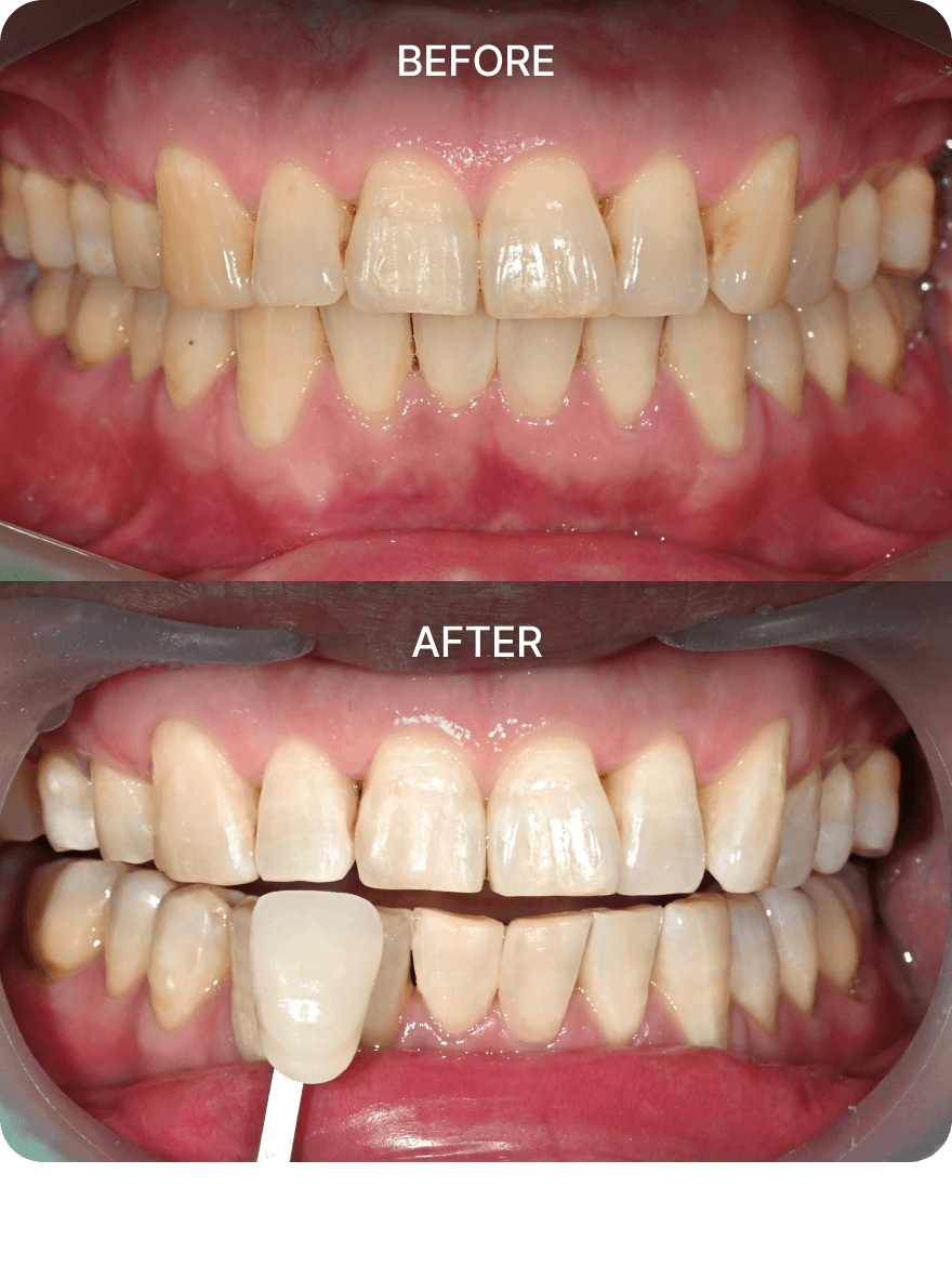
분야별 전문의가 빠르게 상담을 도와드리겠습니다.
빠른상담 신청하기
분야별 전문의가 상담을 도와드리겠습니다
이름
휴대폰
상담 내용
* 개인정보 수집/이용 목적 : 치과 상담을 위한 정보
* 수집하는 개인정보의 항목 : 이름, 연락처
※ 치과 상담을 이용과정에서 아래와 같은 정보들이 생성되어 수집될 수 있습니다.
- 서비스이용기록, 접속로그, 쿠키, 접속IP정보
* 개인정보의 보유 및 이용기간
- 보존기간은 5년이며, 정보 제공자가 삭제를 요청할 경우 즉시 파기합니다.
- 고객님의 정보는 개인정보 보호법에 따라 보호되며 위의 사항 외에 별도로 사용하지 않을 것을 약속드립니다.